Рассчитать стоимость
  • Клиника на Рашпилевской

Установка брекетов

быстрое решение

С помощью уникального подхода к лечению исправим прикус и улучшим стоматологическое здоровье на всю жизнь

Рассчитать стоимость
идеальная улыбка
  • Подберем вариант
    под ваш бюджет
  • Гарантия на работу
    и результат
4.8
240 отзывов

Что такое брекеты

Брекет-системы — ортодонтические несъёмные конструкции (аппараты) для выравнивания неправильного прикуса и неровности зубного ряда.

Устройство в виде замочков на зубах, которые фиксируются при помощи ортодонтического клея (бонда) на наружную или внутреннюю поверхность зубов и объединяющей их дуги.

  • Основание брекета с помощью композиционного материала приклеивается к эмали зуба.
  • В паз брекета вставляется ортодонтическая дуга. Некоторые виды брекетов имеют дополнительный паз для вспомогательных элементов.
  • С помощью крыльев на брекет крепятся лигатуры — элементы, с помощью которой дуга закрепляется по отношению к брекету.

Давайте пообщаемся:ответим на все вопросы

Матевосян Анжелика
Геворговна
Врач-ортодонт

Расскажем все об установке брекетов и сориентируем по стоимости установки

Соглашаюсь на обработку персональных данных и с условиями политики конфиденциальности

стоит ли устанавливать брекеты, особенно во взрослом возрасте?

Плюсы
  • Эффективная коррекция прикуса брекеты устраняют самые разные дефекты прикуса, включая перекрестный, глубокий и открытый прикус.
  • Выравнивание зубного ряда при любой степени кривизны брекеты помогут добиться ровного ряда зубов.
  • Улучшение жевательного аппарата правильное положение зубов и прикус способствуют эффективному разжижению пищи.
  • Эстетика красивая улыбка улучшает самооценку пациента, делает его более уверенным в общении.
  • Долгосрочный результат результаты, сохраняются на долгие годы при соблюдении рекомендаций специалиста.
  • Прогнозируемый результат современные технологии позволяют ортодонту заранее просчитать ожидаемый итог коррекции.
Минусы
  • Боль или дискомфорт первые дни могут сопровождаться дискомфортом, который со временем уменьшаются.
  • Сложности с гигиеной рта брекеты требуют более тщательного ухода со специальными средствами для гигиенического ухода.
  • Эстетические ограничения металлические брекеты могут вызывать стеснение. Однако керамические варианты, менее заметны.
  • Ограничение в пище необходимо избегать твердую, липкую и очень жесткую пищу, чтобы предотвратить повреждение брекетов.
  • Осложнения если не обеспечивать должный уход, возможны осложнения в виде кариеса, пародонтоза.
  • Длительное лечение процесс выравнивания зубов может занять несколько лет, что требует терпения и дисциплины.

Рассчитаем стоимость установки брекет-системы под ваш случай

  • Для чего Вам брекет-система

    01 /04
    Готово: 0%
  • Какие брекет-системы вы бы хотели себе поставить?

    02 /04
    Выберите один или несколько вариантов
    Готово: 20%
  • На какую челюсть хотите установить брекет-систему?

    03 /04
    Готово: 40%
  • Какая у вас цель?

    04 /04
    Готово: 60%
  • Спасибо за ваши ответы

    Мы подготовим для вас предварительный расчёт и специальное предложение

    • Позвонить
    • WhatsApp
    • Telegram

    Соглашаюсь на обработку персональных данных и с условиями политики конфиденциальности

    Готово: 100%

В конце получите: предварительный расчет + скидку + подарок

Стандарт нашей работы - никакой боли и превосходный результат

  • Безболезненные уколы Карпульные шприцы — тонкие, прочные, острые и гибкие. Сокращают болезненные ощущения, исключают развитие инфекций
  • Легкие обезболивающие А не полный наркоз. Вы всегда находитесь в сознании под присмотром анестезиолога. При этом не ощущаете боли и стресса
  • Мягкая седация Не прямой наркоз, сохраняющий ваше сознание во время операции. Под внимательным наблюдением анестезиолога.
  • Думаем о вашем комфорте Заботимся о комфортной атмосфере во время лечения. Минимизируем даже время с открытым ртом.

Цифровые слепки и виртуальное 3D - моделирование помогают точно спланировать лечение на каждом этапе.

6
показаний к применению брекетов
  • Клыки “улыбка вампира” Клыки растут из десны, перекрывая верхние передние зубы
  • Перекрестный прикус Зубы верхнего ряда неправильно смыкаются с нижними
  • Выпирающий прикус Сильное смещение нижней челюсти вперед
  • Скученность или щели Зубы находят друг на друга или есть большие щели
  • Глубокий прикус Сильное смещение нижней челюсти назад
  • Зубы не смыкаются Открытый прикус, тремы, щербинка

Красивая улыбка сейчас оплата потом

Мы предоставляем прекрасную возможность воспользоваться нашими услугами уже сейчас, а выплатить стоимость частями в рассрочку или кредит.

Брекет - системы

В нашем стоматологическом кабинете мы предлагаем широкий ассортимент брекет-систем различных производителей.

Наши опытные специалисты помогут вам выбрать наиболее подходящую брекет-систему, учитывая ваши индивидуальные особенности и финансовые возможности.

  • Металлические брекетыХит от 25 000 ₽

    Классическая и проверенная временем конструкция для коррекции прикуса. Их прочность и эффективность позволяют решать широкий спектр проблем с зубами.

    Время ношения: от 1 года до 3-4 лет
  • Керамические брекеты от 40 000 ₽

    Керамические брекеты светлые и более эстетичные, чем металлические. Материал подбирается под естественный тон эмали, что делает его практически незаметным. Материал матовый и не создает блики на свету.

    Время ношения: от 1,5 до 2,5 лет
  • Сапфировые брекеты от 40 000 ₽

    Сапфировые брекеты изготовлены из прозрачного материала, который практически незаметен на зубах, но может переливаться и создавать блик на солнечном свете. Более прочный, чем керамика. Идеален для тех, кто хочет сохранить естественный вид улыбки.

    Время ношения: от 1 года до 2 лет
  • Комбинированные брекеты от 40 000 ₽

    Комбинированные брекеты сочетают в себе преимущества металлических и керамических брекетов. Благодаря такой установке брекет-системы можно сохранить эстетичность и эффективность ортодонтического лечения.

    Время ношения: от 1,5 до 3 лет
  • Самолигирующие брекеты от 30 000 ₽

    Самолигирующие брекеты не требуют использования резинок для фиксации, так как у них встроенный механизм самозакрепления, что позволяет снизить трение и уменьшить давление на зубы. Процесс коррекции более мягкий и менее болезненный.

    Время ношения: от 1 года до 2 лет
  • Лингвальные брекеты от 30 000 ₽

    Лингвальные брекеты представляют собой инновационный вариант ортодонтического лечения, при котором брекеты крепятся на внутреннюю сторону зубов. Это позволяет сохранить вашу улыбку без видимых брекетов.

    Время ношения: от 1,5 до 3 лет
  • ЭлайнерыАльтернатива от 80 000 ₽

    Элайнеры – это съемные прозрачные устройства, которые используются для исправления небольших дефектов прикуса. Они представляют собой удобную и незаметную альтернативу традиционным брекетам.

    Время ношения: от нескольких месяцев до 1,5 лет

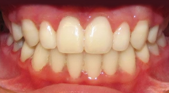
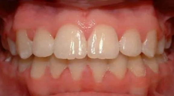
Примеры наших работ

  • до
    после

    Ортодонтическое лечение

    Ортодонтическое лечение на металлической брекет-системе

    Время лечения: 3 года (с учетом терапии)

  • до
    после

    Ортодонтическое лечение

    Ортодонтическое лечение на металлической брекет-системе
    Время лечения: 2 года (с учетом терапии)

  • до
    после

    Ортодонтическое лечение

    Ортодонтическое лечение на керамической брекет-системе
    Время лечения: 2 года (с учетом терапии)

  • до
    после

    Ортодонтическое лечение

    Ортодонтическое лечение на сапфировой брекет-системе
    Время лечения: 1 год и 8 месяцев (с учетом терапии)

  • до
    после

    Ортодонтическое лечение

    Ортодонтическое лечение на комбинированной брекет-системе
    Время лечения: 1,5 года (с учетом терапии)

  • до
    после

    Ортодонтическое лечение

    Ортодонтическое лечение на комбинированной брекет-системе
    Время лечения: 2 года (с учетом терапии)

  • до
    после

    Ортодонтическое лечение

    Ортодонтическое лечение на лингвальной брекет-системе
    Время лечения: 3,5 года (с учетом терапии)

  • до
    после

    Ортодонтическое лечение

    Ортодонтическое лечение на лингвальной брекет-системе
    Время лечения: 1,5 года (с учетом терапии)

  • до
    после

    Ортодонтическое лечение

    Ортодонтическое лечение на Элайнерах
    Время лечения: 2 года (с учетом терапии)

  • до
    после

    Ортодонтическое лечение

    Ортодонтическое лечение на Элайнерах
    Время лечения: 1,5 года (с учетом терапии)

Как проводится лечение

  • Диагностика и расчеты

    Делается компьютерная томография (КТ) и пантомограмма, необходимые для оценки состояния тканей зубов, десен, положения челюстей. Затем снимается восковой слепок.

    Врач подбирает брекет-систему, определяет план дальнейшего лечения и составляет график коррекций.

  • Подготовка полости рта

    Врач удаляет зубные отложения, лечит кариес или воспаление. По показаниям удаляют зубы.

    Профессиональная гигиена влияет на прочность сцепления пластинок с зубом.

    Проф.гигиену можно совместить с первым визитом в клинику — в один день провести диагностику и профилактику. Но совмещать комплексную чистку и фиксацию брекетов нельзя, поэтому о чистоте полости рта следует позаботиться заранее.

  • Фиксация

    Сперва зубы тщательно обрабатывают специальным раствором, чтобы обеспечить максимальное сцепление клея.

    Пластинки приклеивают к зубам на клей, устанавливают дугу, которая обеспечивает необходимое давление на зубы.

    Процедура длится 1-1,5 часа.

  • Лечение и корректировки

    В процессе лечения необходимо регулярно посещать врача-ортодонта:

    • лигатурные системы — 1 раз в месяц для замены лигатур.
    • безлигатурные системы — 1 раза в 2 месяца для регулирования натяжения дуги.

    По мере выравнивания зубов проводится замена дуг, периодичность определяет ортодонт.

  • Снятие системы

    После окончания лечения брекет-систему снимают. Удаляются лигатуры или раскрываются замочки, извлекается дуга. Брекеты безболезненно снимаются специальным инструментом, поверхность зуба шлифуется.

    Процесс длится 15-20 минут.

  • Гигиена после снятия

    Проводится профессиональная гигиена после ношения брекетов:

    • Гигиеническая чистка —  для удаления налета и зубных отложений.
    • Реминерализация эмали — насыщение минералами для профилактики кариеса, укрепления и восстановления эмали.
    • Отбеливание — для эстетической привлекательности.
  • Ретенционный период

    Для закрепления зубов в определенном положении после удаления брекетов ставят прозрачную тонкую каппу или ретейнер из проволоки. Каппу надевают на ночь, а ретейнер закрепляют на внутренней стороне зубного ряда. После снятия показана профессиональная чистка или отбеливание зубов.

Расскажем все об установке брекет - систем и сориентируем по стоимости установки

Матевосян Анжелика
Геворговна
Врач-ортодонт

Соглашаюсь на обработку персональных данных и с условиями политики конфиденциальности

+7 861 298-10-28 Пн-Вс: с 10:00 до 20:00

стоимость установки брекет - системы

  • Консультация врача-ортодонта
    от 650 ₽
  • Комплексная диагностика
    3 900 ₽
  • Установка брекет-системы mini Damon (1 челюсть)
    от 25 000 ₽
  • Установка брекет-системы Damon Q
    от 30 000 ₽
  • Установка брекет-системы Damon Clear
    от 40 000 ₽
  • Осмотр и активация несъёмной саморегулирующей техники
    3 900 ₽
  • Установка ретейнера
    3 900 ₽
  • Изготовление ретенционной каппы
    10 500 ₽
  • Элайнеры
    от 80 000 ₽

Команда специалистов

  • Матевосян
    Анжелика Геворговна
    Специализация Стоматолог-ортодонт
    Стаж работы: 7+ лет
    Оказываемые услуги
    • Установка съемных ортодонтических аппаратов
    • Установка брекет-систем
  • Егунян
    Камо Карленович
    Специализация Стоматолог-ортопед
    Стаж работы: 10+ лет
    Оказываемые услуги
    • Ортодонтическое лечение на брекетах
    • Исправление прикуса у взрослых и детей
    • Стоматологическая терапия

Отзывы о нашей работе

  • до
    после
    до
    после
    Ангелина Комбинированные брекеты

    Меня привела в эту клинику мама с сестрой, когда им ставили скобы. С брекетами проходила полтора года, мой прикус выровнялся, теперь только поддерживающие процедуры. Очень благодарна своему лечащему врачу за заботу, профессионализм, уверенность в результате. Зубы от кариеса тоже здесь лечила, и хочу сказать, что все врачи очень классные и добрые, мне всё нравится. Приходите все сюда за супер крутой улыбкой!

  • до
    после
    до
    после
    Михаил Металлические брекеты

    Меня не очень напрягали мои клыки, но были последствия неправильного прикуса в виде головной боли и щелчков. Поэтому стали всей семьей искать мне ортодонта ))) Нашли очень быстро - многие родственники и друзья лечили зубы именно здесь. Я прошел лечение и установку брекетов легко. Носить брекеты было трудно, за ними нужен уход, но результат того стоит!!! Я стал хорошо спать, да и улыбаться стало намного приятнее. Девушкам очень нравится ;) Всем советую обращаться именно в эту клинику, потому что лечение пройдет достаточно быстро, комфортно, создадут все условия для этого, так что обращайтесь именно сюда.

  • до
    после
    до
    после
    Анна Терапия и Брекеты

    Когда встал вопрос о лечении зубов, я начала искать лучшие стоматологии по всему Интернету и наткнулась на эту клинику, рейтинг и отзывы которой мне очень понравились. Сначала мне полечили здесь кариес, а потом установили брекеты, установку которых я очень ждала! Моё лечение ведет самый лучший врач, к рекомендациям которой я всегда прислушиваюсь. Огромное спасибо клинике за мою здоровую улыбку!

  • до
    после
    до
    после
    Севиль Керамические брекеты

    Пришла я в клинику по совету моей подруги, которая тоже здесь лечила зубы и тоже устанавливала брекеты. Ей здесь всё очень нравилось, ей понравился результат и мне тоже понравился её результат. Безумно рада изменениям, которые произошли за это время, потому что они были большими! Практически каждый месяц я наблюдала как меняются мои зубы и меняются они в лучшую сторону. Хочу выразить благодарность своему лечащему врачу, который взялся за мой непростой случай... Приходите тоже в данную клинику, если хотите такую же замечательную улыбку, как и у меня.

  • до
    после
    до
    после
    Кирилл Комплексное ортодонтическое лечение

    Я вообще пришел устанавливать виниры в данную клинику, но мне сказали сперва нужно зубы пролечить и выровнять. Выбрали оптимальный вариант для выравнивания зубов. Я максимально доволен результатом, сроком выполнения и комфортом носки. Так сильно мне понравился результат, что я передумал ставить виниры! Мои зубы оказываются красивые и так! Абсолютно доверяю нынешним докторам, которые здесь работают. Рекомендую приходить сюда, так как спецы работают сообща и выберут для вас то, что нужно!

  • до
    после
    до
    после
    Дмитрий Элайнеры

    У меня не сильно большие проблемы с зубами, но подровнять хотелось. Нашел способ невидимых брекетов - элайнеры. Интересная штуковина, на работе никто не заметил совершенно. Зато заметили изменения, когда завершилось ортодонтической лечение в вашей клинике.
    За всё время я к вам уже очень привык, приходил как к себе домой. Маму на лечение тоже сюда привел, она мне очень благодарна. А я вам! Нареканий нет совсем. Цены хорошие, отношение супер, врачи настоящие профессионалы! Всегда на связи и при любом вопросе консультируют что да как. Рекомендую эту клинику, потому что здесь всегда принимают с душой, и работают действительно профессионалы.

Альтернативные методы исправления прикуса

  • Элайнеры

    Полупрозрачные каппы из медицинского пластика или силикона

    Элайнеры носят в течении дня, периодически снимая для приема пищи. Каждая каппа создается индивидуально и надевается строго поэтапно лечению.

  • Трейнеры

    Съемные аппараты, которые корректируют функциональные нарушения у взрослых

    Конструкция жесткая, чтобы создать нужное давление.

  • Виниры

    Пластинки для коррекции формы и цвета зубов в зоне улыбки

    Можно замаскировать (исправить) прикус только в тех случаях, когда они выражены не сильно.

  • Пластинки

    Это съемные конструкции с пластиковым основанием и металлическими дугами.

    Применяются чаще у детей. Пластинки корректируют форму челюсти, изменяют положение резцов.

Лечим пациентов изо всех уголков России и других стран

  • Пришлите нам свой снимок КТ на электронную почту и опишите что вас беспокоит

    Дистанционная консультация врача

  • Врач свяжется с вами, уточнит необходимые детали и предложит предварительный план лечения

    Предварительный план лечения

  • Поможем с организацией приезда и проведем лечение в согласованный срок

    Приезд и лечение

  • Врач будет на связи и поможет с решением любых вопросов для достижения отличного результата

    Контрольпосле отъезда

Отвечаем на ваши вопросы

  • Обязательно ли делать чистку перед установкой брекетов?

    Чистка ― обязательная часть подготовки к коррекции прикуса. Ношение брекетов ухудшает гигиену зубов. Поэтому при подготовительных процедурах эмаль очищают и принудительно насыщают минералами для снижения риска развития кариеса. Обычно гигиену у терапевта совмещают с консультацией ортодонта в одно посещение. Пациент проходит первичный осмотр у ортодонта, который снимает слепки, делает снимки, планирует дату установки аппарата. А затем переходит в кабинет врача-гигиениста.

    Матевосян Анжелика Геворговна Врач-ортодонт, Стаж 7+ лет
  • Сколько времени займет установка брекетов?

    Время установки брекетов зависит от сложности каждого индивидуального случая, но обычно процедура занимает от 1 до 2 часов.

    Матевосян Анжелика Геворговна Врач-ортодонт, Стаж 7+ лет
  • Будет ли больно устанавливать брекеты?

    Во время установки брекетов пациент может ощущать некоторое давление и неприятные ощущения. Но сама процедура установки брекет-системы не вызывает болезненных ощущений.

    Матевосян Анжелика Геворговна Врач-ортодонт, Стаж 7+ лет
  • Как часто нужно будет посещать врача для регулировки брекетов?

    Обычно необходимо посещать врача каждые 4-6 недель для регулярной коррекции брекетов, либо заменой деталей, если есть необходимость.

    Матевосян Анжелика Геворговна Врач-ортодонт, Стаж 7+ лет
  • Какая польза от ортодонтического лечения?

    1. Проще чистить зубы
    -Чем меньше труднодоступных зубных участков, тем лучше вы чистите зубы.
    2. Красивая безупречная улыбка
    -Ровные безупречные зубы дарят большую уверенность и желание улыбаться чаще!
    3. Перекрестный прикус приводит к головным болям, напряжению в челюстях и трещинам в зубах. Ортодонтическое лечение менять прикус и соответственно снимает лишнюю нагрузку с челюсти.
    4. Заметное улучшение дикции, речи.
    5. Зубы с правильным прикусам более эффективно перерабатывают пищу, соответственно после ортодонтического лечения улучшается вся система пищеворения.

    Матевосян Анжелика Геворговна Врач-ортодонт, Стаж 7+ лет
  • Как долго нужно носить брекеты, прежде чем можно будет их снять?

    Срок ношения брекетов зависит от индивидуальных особенностей пациента и его ортодонтического случая, но обычно процесс занимает от 1 до 3 лет.

    Матевосян Анжелика Геворговна Врач-ортодонт, Стаж 7+ лет
  • Могу ли я есть любую пищу после установки брекетов?

    Рекомендуется избегать твердой и липкой пищи, чтобы предотвратить повреждение брекетов. Подробнее о диете после установки брекетов вы можете узнать у врача.

    Матевосян Анжелика Геворговна Врач-ортодонт, Стаж 7+ лет
  • Как часто нужно чистить зубы при наличии брекетов?

    Чистить зубы следует после каждого приема пищи, чтобы избежать образования налета и кариеса. Используйте для очищения зубов специальные щетки, ершики, суперфлосс или ирригатор. Подробнее об уходе за брекетами конкретно в вашем случае расскажет врач на консультации.

    Матевосян Анжелика Геворговна Врач-ортодонт, Стаж 7+ лет
  • Можно ли самому выбрать тип ортодонтического лечения?

    Конечно. На консультации врач-ортодонт предложит вам несколько путей ортодонтического лечения, среди которых вы можете выбрать свой вариант.

    Матевосян Анжелика Геворговна Врач-ортодонт, Стаж 7+ лет
  • В чем разница между лечением Элайнерами и Брекетами?

    Основные различия между Элайнерами и Брекетами:

    1. Элайнеры - это съемное ортодонтическое лечение, а Брекеты - несъемное.
    2. Элайнеры гораздо дороже, чем Брекеты (примерно в 3-5 раз).
    3. Элайнеры требуют большой самодисциплины от пациента: нужно менять ночные и дневные каппы, снимать/мыть/надевать снова во время приема пищи, их нужно носить 20-22ч в день.
    4. Элайнеры практически незаметны на зубах, также не мешают обычному режиму питания.
    5. При лечении Элайнерами и Брекетами нужно наблюдаться регулярно у врача-ортодонта каждые 1-2месяца.

    Матевосян Анжелика Геворговна Врач-ортодонт, Стаж 7+ лет

Приготовьтесь увидеть свою красивую улыбку

Виртуальное 3D цифровое моделирование сразу покажет как будут выглядеть ваши ровные зубы еще до лечения

Соглашаюсь на обработку персональных данных и с условиями политики конфиденциальности

Выберите удобное для вас расположение клиники

  • Клиника на Рашпилевской

Поможем вашей улыбке засиять

Запишитесь на бесплатную консультацию к специалисту прямо сейчас

Соглашаюсь на обработку персональных данных и с условиями политики конфиденциальности